症例紹介
様々な歯科医院様からのご依頼を受け、患者様一人ひとりに最適な
歯科技工物のご提案を行った症例の一部をご紹介いたします。

デジタル機材と積み上げた経験で、
精巧な歯科技工物を
どのような症例でも安心してご依頼いただけるように、近年のデジタル技工を支える最新機材を導入しています。
高精度の歯科技工物をこれまでの経験を用いて、幅広い視点から患者様に最適な技工物を製作します。
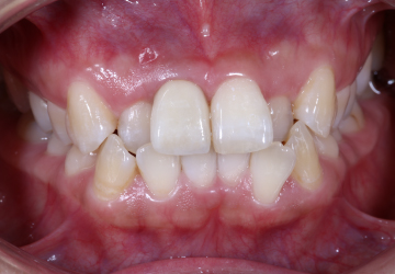
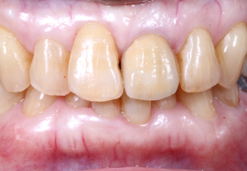
CASE 1
メタルセラミック
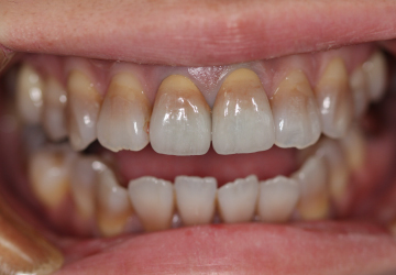
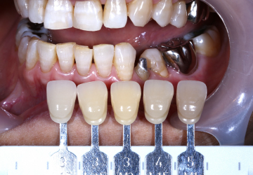
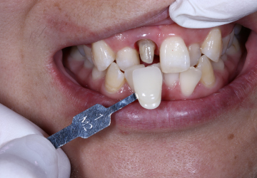
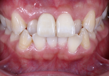
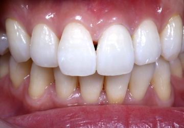
CASE 2
e-max シェードテイキング
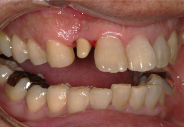
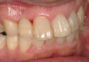
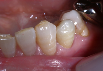
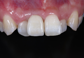
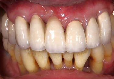
CASE 3
e-max セラミック
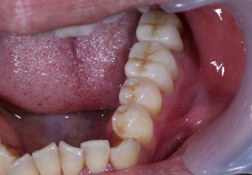
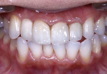
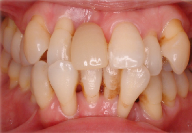
CASE 4
フルジルコニア 臼歯
CASE 5
ジルコニアセラミック
CASE 6
ジルコニアセラミック
CASE 7
ジルコニアセラミック
CASE 8
ジルコニアセラミック
CASE 9
インプラント上部構造フルジルコニア
CASE 10
メタルセラミック





































